2025年4月18日-20日,第十七届中国微创介入医学学术大会在北京隆重召开。作为国内微创介入医学领域具有影响力的学术盛会,本届大会吸引了来自全国肿瘤医学界的顶尖专家学者,共同探讨肿瘤微创治疗领域的前沿技术与创新成果。

其中,纳米刀消融技术作为大会亮点之一,受到了广泛关注。来自北京大学国际医院肿瘤微创科主任郑加生教授在大会上作了主题报告,系统阐述了纳米刀消融技术的进展及其独特的临床应用价值。这项革命性技术采用CT影像实时引导,通过精确定位肿瘤,利用纳米刀消融针在肿瘤区释放高压脉冲电场,使肿瘤细胞产生纳米级不可逆电穿孔效应,从而实现对肿瘤细胞的精准灭活,对脉管系统几乎无损伤等显著优势,与传统治疗方式相比,该技术具有影像引导精准定位、精准微创治疗、精准疗效评估,创伤小、恢复快、并发症少等特点,为肿瘤患者提供了全新的治疗选择,尤其适用于胰腺癌、肝门部位胆管癌和邻近第一二肝门等危险部位肝癌、肝转移癌。
远山医疗作为不可逆电穿孔(IRE)技术领域的领军企业,参与了中关村肿瘤微创治疗产业技术创新战略联盟高新技术成果临床应用启动仪式。

郑加生主任特别指出,纳米刀技术的突破性优势在于其独特的"选择性消融肿瘤细胞"而不破坏脉管系统的机制。该技术能够在彻底灭活肿瘤组织的同时,完整保留病灶区域的重要血管、胆管、肠管及神经等重要结构。这一特性使其在肝门部胆管癌、胰腺癌等复杂病例的治疗中展现出卓越的临床价值,为这些患者提供了以针代刀的微创根治性手术治疗新模式,特别是传统手术放弃治疗的肿瘤患者,纳米刀消融治疗仍可获得根治性治疗的机会。

此外,复旦大学附属浦东医院肿瘤医学中心主任任军教授介绍,团队依据既往22年对复发晚期难治性肿瘤治疗的探索与研究,原创性地建立了以细胞免疫治疗为基础的肿瘤综合治疗新模式,在国际上首创“SHAPE-T”免疫疗法(免疫-热疗协同效应)。
该模式对于来自全国各地二线以上治疗失败的胰腺癌、卵巢癌、胃癌、腹膜转移癌、肝转移癌等难治性肿瘤,总体临床收益率达80%,突破了肿瘤内科治疗复发及难治性肿瘤的难题。

两位专家的精彩发言,点燃了会场内的讨论热情。与此同时,这场学术盛会也吸引了各大媒体的广泛关注,人民日报、新华网等主流媒体纷纷对大会进行了报道,特别突出了纳米刀消融技术这一亮点话题。

在专家的精彩解读和媒体的广泛传播下,纳米刀消融技术正逐步走进公众视野,成为肝胰肿瘤治疗领域的一颗新星。作为纳米刀技术的领军企业,远山医疗也将赓续前行,持续为肿瘤治疗领域的发展贡献智慧和力量。接下来,让我们通过两例病例,一同见证远山医疗如何携手纳米刀技术,以独特的治疗优势为肝胰肿瘤患者点亮生命的曙光。
病例展示一
患者信息:女性,62岁,胰头癌,梗阻性黄疸,经皮胆道引流术后,外科放弃手术切除治疗。病理活检为:胰腺导管腺癌。
实验室检查:
糖类抗原19-9:854.1U/ml
术前CT:胰头癌,肿块大小为30mm×26mm。

手术方式选择:
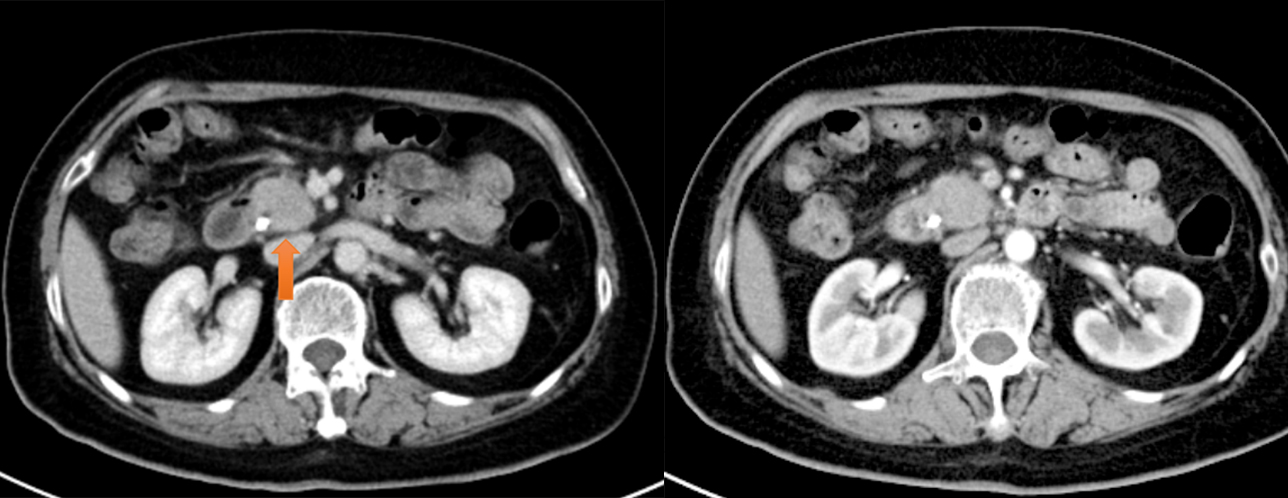
对患者采用CT引导下经皮胰头部肿瘤纳米刀消融手术。

消融术结束前行即刻增强CT扫描:
肿瘤病灶呈低密度改变,无强化,病灶周围血管清晰可见,无出血、消化道穿孔等并发症。

术后一月随访:
胰头坏死肿瘤区明显缩小呈低密度改变,糖类抗原19-9:28.0U/ml(正常值≤39U/ml)。

病例展示二
患者信息:男性,66岁,诊断为肝门部胆管癌、胆道梗阻,行双侧胆道引流术,外院腹腔镜手术未能切除肿瘤,放弃治疗。
实验室检查:
糖类抗原19-9:190.0U/ml
病理活检:肝门胆管腺癌。
术前PET/CT:肝门区胆管癌,肿瘤大小:3.0cm×2.8cm×2.8cm,FDG摄取明显增高;增强CT显示:左肝门区肿瘤,累及右侧肝内胆管,左右侧胆道引流管。

手术方式选择:
对患者采用CT引导下经皮纳米刀肝门区肿瘤消融手术。

消融术后即刻增强CT影像:
消融区病灶呈低密度及气化改变,未见出血等并发症,消融效果良好。

术后两个月随访:
增强CT显示肿瘤坏死呈低密度,未见残余肿瘤;增强MRI显示原肿瘤区呈低信号,右侧门静脉血管清晰显示;PET-CT显示肝门部及肝左叶密度灶,局部FDG摄取减低。

以上两个病例充分证明了纳米刀消融技术对肝胆胰复杂部位肿瘤的治疗具有独特优势,使患者获得根治性治疗效果,而且治病不致残,大幅度降低了手术风险和术后并发症,同时显著缩短患者的术后恢复期,充分彰显该技术在肝胆胰肿瘤治疗领域的独特优势。
远山医疗不仅展示了其在IRE技术上的领先地位,更通过学术交流进一步明确了未来方向——推动IRE技术标准化、规范化、同质化临床应用,让更多患者受益于微创精准治疗。作为“微无创,愈无痕”人文诊疗新时代的杰出代表,远山医疗将持续探索,将更多革命性创新成果应用于临床,通过产学研用深耕实践,在未来的肝胆胰肿瘤治疗中发挥更加重要的作用,提供更高效安全的肿瘤治疗方案。
远山医疗坐落于中国天津,自2013年开始,聚焦不可逆电穿孔技术研发,先后布局肿瘤消融、心脏电生理、外周介入消融和呼吸介入消融。致力于为全球客户提供基于不可逆电穿孔技术的、全线自主研发的医疗创新解决方案。
远山医疗自主研发的陡脉冲治疗仪和一次性使用陡脉冲电极消融针是基于不可逆电穿孔(IRE)技术的创新医疗器械,是国产唯一获批肝脏、胰腺恶性肿瘤双适应症认证的IRE消融产品,也是国产独家获批胰腺恶性肿瘤注册证的IRE消融产品。
