近日,青海省第四人民医院顺利开展两例纳米刀肿瘤消融术,为两位复杂解剖部位肝癌患者延续生命。本次手术由介入科更藏尖措主任带领团队开展,在麻醉科等科室的密切协助下,使用远山医疗自主研发生产的国产纳米刀-陡脉冲治疗仪成功为患者开展了该新型术式。本次手术邀请了天津医科大学总医院付殿勋教授进行指导。青海省第四人民医院是省内首家引入不可逆电穿孔(纳米刀)技术并成功开展手术的医院,已成功积累数例纳米刀消融宝贵经验。
纳米刀(不可逆电穿孔技术)是一种新型、高精尖的肿瘤消融技术,与传统冷热消融技术相比,其最大的优势在于以非热效应灭活细胞,灭活过程在细胞级水平进行,对细胞外基质无明显影响,所以能够有效的保存靶组织内血管、神经、胆管、输尿管等重要组织结构。更藏尖措主任一直高度关注纳米刀技术的临床应用进展,并在经过认真研判后为医院引入了远山医疗陡脉冲治疗仪,促成手术开展。更藏尖措主任认为基于纳米刀技术的特点,在治疗危险部位恶性肿瘤方面具有独特的优势,可以为众多无法接受手术及常规消融治疗的患者带来新的治疗方式。
病例信息
患者一

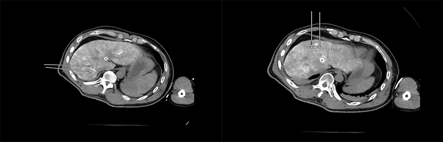
▲ 患者一术前影像
患者二
44岁男性,因“诊断HCC2年余,腹痛1周。”入院,完善上腹部MRI及肿瘤指标,考虑肿瘤复发.影像检查显示:肝S3段异常信号范围较前略增大。综合平扫+DWI诊断:肝S3、4、8段异常信号,考虑Ca介入术后改变,未见明显活性残留,肝S3段考虑Ca复发,范围较前略增大。肝尾叶略大,肝实质多发增生结节。病灶大小约为3.5(左右)x3cm(胸背)x3cm(头足)。

▲ 患者二术前影像
病
专家诊断

▲ 患者一计划进针路线

▲ 患者二计划进针路线
手术过程

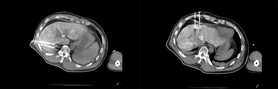
▲ 患者一手术过程

▲ 患者二手术过程
术后反馈

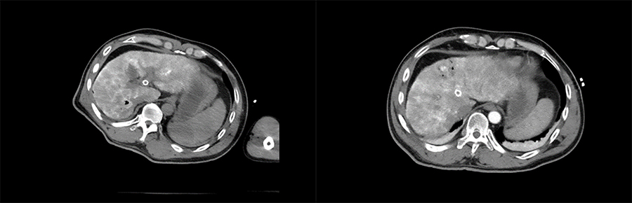
▲ 患者一术后影像

▲ 患者二术后影像
更藏尖措主任表示纳米刀技术突破现有肿瘤治疗技术的局限性,可适应更多复杂的病情,传统的消融治疗一旦肿瘤靠近大血管、胆管、胰管、肝门静脉等危险区域,则治疗风险高,纳米刀不损及管道和神经,对于以上情况均能进行安全而有效的治疗。主任认为,引入纳米刀技术并顺利开展手术,标志着医院成功掌握一项治疗肿瘤的新利器,该技术可与医院现有治疗技术实现互补,进一步满足患者对精准化医疗技术服务的需求。该新技术在青海省内落地,也将为本省地区兄弟医院起到示范带头作用,带动区域内医疗新技术发展。
纳米刀技术尤其适用于胰腺、肝门部等危险部位肿瘤治疗,为那些外科手术无法切除或术前被认为无法切除的中晚期危险部位肿瘤患者提供了一种有效的治疗方法。此外,对于年老体弱、无法耐受外科手术的肿瘤患者来说,纳米刀消融技术也是一种可行的选择。


远山医疗坐落于中国天津,自2013年开始,聚焦不可逆电穿孔技术研发,先后布局肿瘤消融、心脏电生理、外周介入消融和呼吸介入消融。致力于为全球客户提供基于不可逆电穿孔技术的、全线自主研发的医疗创新解决方案。
远山医疗自主研发的陡脉冲治疗仪和一次性使用陡脉冲电极消融针是基于不可逆电穿孔(IRE)技术的创新医疗器械,是国产唯一获批肝脏、胰腺恶性肿瘤双适应症认证的IRE消融产品,也是国产独家获批胰腺恶性肿瘤注册证的IRE消融产品。
前影像