近日,四川省人民医院超声介入诊疗中心罗俊主任医师、吴昊医师团队联合肝胆外科邓小凡副主任医师、刘兴超医师团队成功开展一例高难度超声引导下经皮穿刺纳米刀肿瘤消融手术,为一位肿瘤紧贴第一肝门胆道的肝癌患者完成精准化微创治疗。在手术室、麻醉科等科室的密切协助下,使用远山医疗自主研发生产的国产纳米刀设备-陡脉冲治疗仪成功为患者开展了该新型治疗术式。患者术后1月复查结果理想,消融效果显著。
本例手术集中展现了三项关键技术优势的协同效应:超声实时引导,全程监控无辐射。腔镜超声能发现术前其它影像学无法发现的微小病灶,达到一次根治,减少术后复发;纳米刀避免温度消融胆道损伤的严重并发症,精准有效安全。三者结合,共同确保了此次治疗的精准、安全与彻底。
纳米刀技术凭借"不伤血管胆管"的特性,为传统手术禁区患者带来新生希望。开创了高危区域肝癌治疗的新路径。
患者男,70岁,因肝癌术后复发入院,在我院行磁共振检查发现:肝右前叶上段可见一长T1稍长T2信号肿块影,考虑HCC可能,初步诊断肝门处肝癌,病灶头足距3.9cm,左右距4.0cm,胸背距2.8cm。另于S8和S6尚探及两枚可疑病灶。
术者团队细致研究患者病情,考虑到病灶位于第一肝门部,贴合肝中静脉且和重要左右胆道汇合部关系密切,患者高龄,既往肝癌手术史,且病灶多发,在右肝分布分散,传统手术切除风险高,范围大,而传统冷/热消融易损伤血管和胆道结构,造成严重并发症。纳米刀作为肿瘤消融的前沿技术,具有“选择性消融”的特性,诱导肿瘤细胞死亡的同时不伤及周围重要脉管结构,安全性更高,可让患者最大程度获益,是更优选择。团队在与患者及家属充分沟通后,最后决定采用纳米刀消融技术进行微创治疗,在超声引导下经皮穿刺布针。

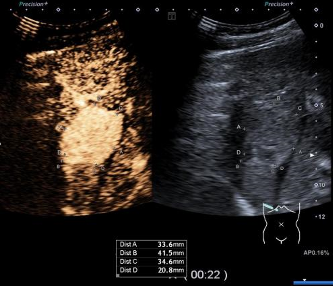
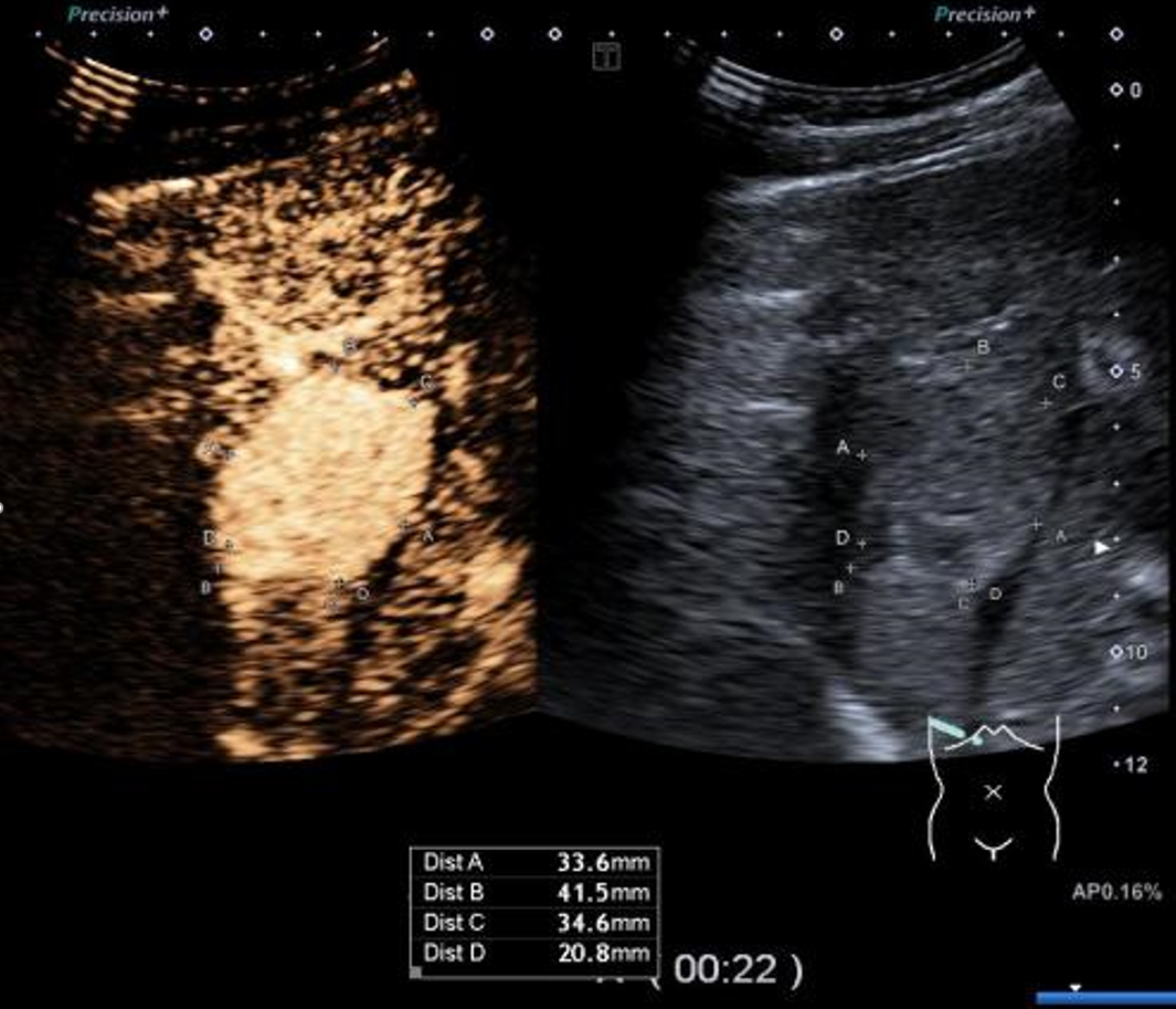
▲患者术前超声造影显示富血供
患者在手术室行纳米刀肿瘤消融术,术者在超声引导下经皮穿刺布针,共进3根针,确保电极区域包裹肿瘤,布针间距尽量要求均匀,麻醉医生为患者注射肌松药物,随后开始消融。术中根据电流反馈多次测试调整消融参数完成消融,消融过程中电流上升反馈良好,无不良反应。术中结合腔镜辅助下的超声探查后,又发现了除术前磁共振提示的两枚小病灶外额外共计4枚肝脏微小病灶,术中超声造影评估考虑小肝癌。
▲ 手术过程
消融完成后,术者退出电极针,经超声造影评估所有消融部位达到安全范围后手术顺利结束,术后给予对症支持治疗,患者恢复良好。术后3天超声造影显示肿瘤部位呈无血供现象,周边血管结构保存完整,消融效果良好且安全。术后1月超声造影显示病灶明显缩小,消融效果显著。

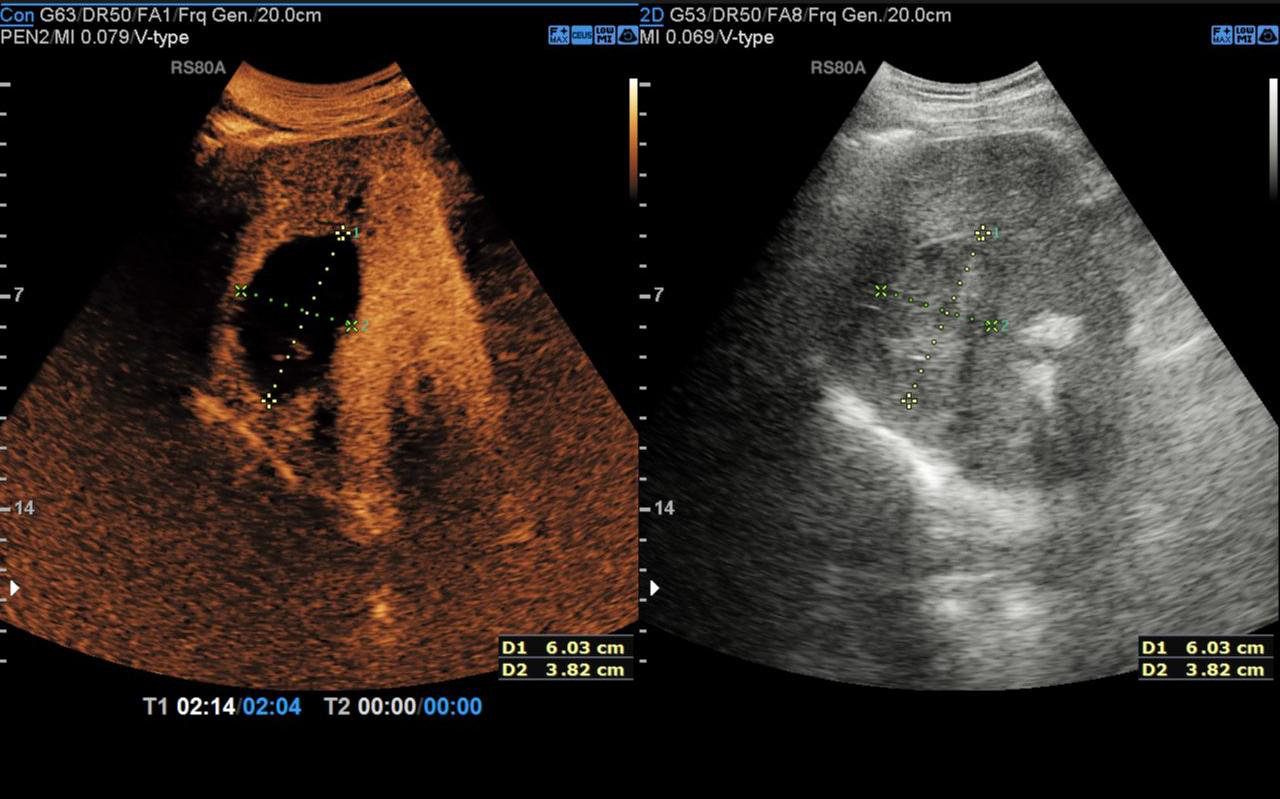
▲ 术后3天超声造影

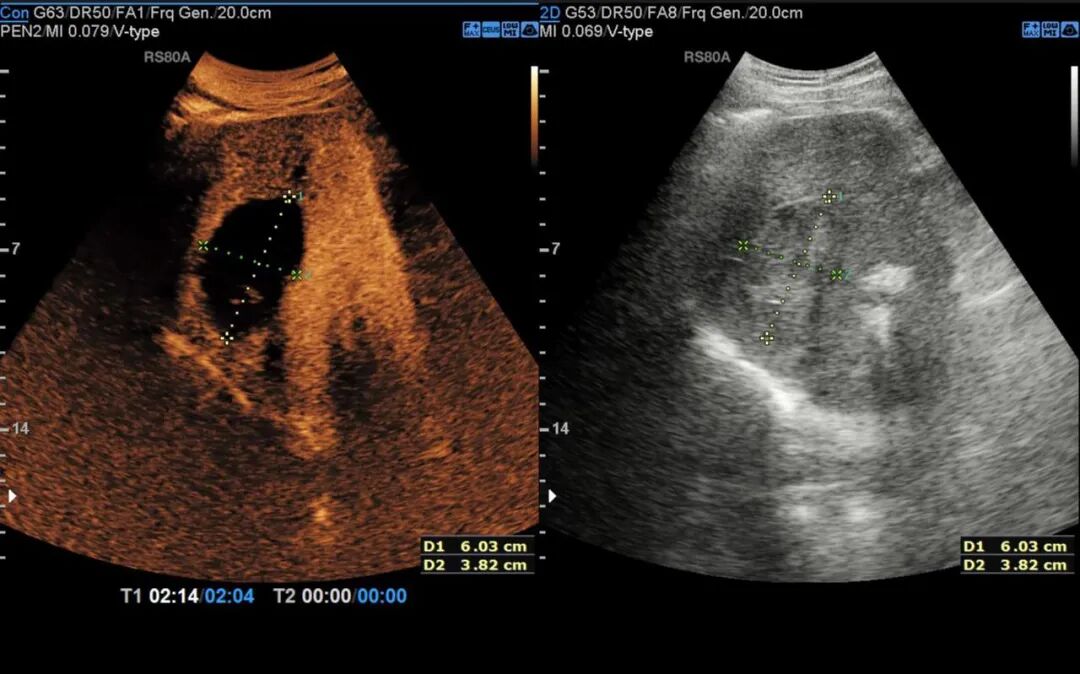
▲ 术后1月超声造影

纳米刀技术,又名不可逆电穿孔,是一种新型、高精尖的肿瘤消融技术通过利用高压电场(1000-3000V/cm)产生微秒级的电脉冲,在肿瘤细胞膜上形成不可逆的纳米级穿孔,打破内部稳态,从而诱导细胞凋亡。纳米刀具有其他消融技术所不具有的优点:对组织的“选择性消融”,消融肿瘤细胞的同时不伤及大血、神经、胆管、肠管等脉管结构;消融区界限清楚;消融不产生热量,也不依赖热量,不受临近的大血管(例如腹腔动脉、主动脉)血流所影响;诱导细胞死亡而不是“坏死”,可激发抗肿瘤免疫反应; 微创化消融:纳米刀通过两根及两根以上的19G电极消融针经皮穿刺置入病灶,孔径损伤仅为1.1mm。
罗俊主任医师指出,纳米刀尤其适用于传统手段束手无策的"禁区肿瘤":为传统认‘不可或不能切除’的肝癌患者提供了新选择。
纳米刀技术现已在国内多家三甲医院逐步推广,为高危区域肿瘤治疗提供了创新微创化解决方案。随着精准医疗时代的到来,纳米刀消融术有望点亮更多肿瘤患者的生命希望。
执技术之新,守健康之诺。远山医疗作为国内纳米刀领域的先驱者,将继续发挥标杆与砥柱作用,携手临床团队,用仁心与科技持续守护每一位患者的生命健康。
专家风采 INTRODUCTION

副教授,硕士生导师,超声医学科党支部副书记,介入超声诊疗中心负责人
中国医师协会超声医学分会介入超声学组委员
中国医师协会介入医师分会超声介入专家工作组委员
四川省医疗卫生与健康促进会超声医学分会副主任委员
四川省国际医学交流促进会超声分会副会长
四川省医师协会乳腺疾病专委会常委
四川省医学会超声医学专委会常委
四川省抗癌协会肿瘤超声专委会常委
四川省肿瘤性疾病医疗质量控制中心乳腺癌专业组专家
获四川省人民医院“大医精诚,技能名医”及“医疗先进个人” ;“医疗优秀个人”称号;获国家卫生健康委首届中国介入医师手术大赛肝癌消融二等奖及甲状腺消融三等奖;获四川省医学科技二等奖
主编人民卫生出版社超声专著2部,参编专著3部,参编国内专家共识3部,主持主研国家自然科学基金面上项目、四川省科技厅重点研发项目,四川省卫健委科研课题5项,牵头全国多中心研究3项,获国家发明专利1项
远山医疗坐落于天津,自2013年起聚焦不可逆电穿孔(纳米刀)技术研发,公司旗下用于肿瘤消融的陡脉冲治疗仪是国产唯一获批肝脏、胰腺恶性肿瘤双适应症认证的纳米刀上市产品。纳米刀技术是被CSCO、NCCN提及的治疗胰腺癌唯一的消融手段,因其非热、组织选择性消融的独特优势,突破传统治疗方式的限制,在肝门胆管癌、胰腺癌等复杂解剖部位的肿瘤治疗方面展现了不可替代的价值。远山医疗深耕纳米刀技术多年,率先推出了全球首款获批上市的局麻纳米刀产品,进一步拓宽了纳米刀技术的治疗边界。
远山医疗作为国内不可逆电穿孔领域的先驱者,目前已布局肿瘤消融、心脏电生理、呼吸介入和外周血管介入四大领域,致力于提供符合中国临床需求的全面解决方案。从首台国产纳米刀获批,到全球首台局麻纳米刀上市,远山医疗正一步一个脚印,始终积极探索不可逆电穿孔技术的医学可能。
