近日,同济大学附属东方医院微创介入中心翟博教授团队成功开展一例高难度超声引导下经皮穿刺纳米刀肿瘤消融术,为一位七十余岁局部晚期胰腺癌患者完成精准化微创治疗。在手术室、麻醉科等科室的密切协助下,术者团队使用远山医疗自主研发生产的国产纳米刀设备-陡脉冲治疗仪成功为患者开展了该新型治疗术式。
胰腺癌因其高恶性程度(5年生存率不足10%)、早期隐匿性强、易侵犯血管神经的生物学特性,被医学界称为"癌王"。传统手术往往面临两大难题:一是多数患者确诊时已失去根治性切除机会;二是胰腺位置深在,毗邻主动脉、门静脉等重要血管,手术风险极高,术后并发症发生率达30%-50%。“纳米刀”技术作为一种新兴高精尖的微创消融技术,为高龄、高风险患者提供新选择。
患者女,76岁,因食欲下降骤减和莫名乏力在当地医院进行检查。中上腹增强CT检查发现胰体尾部占位,较大截面范围约6.5cm ×4.6cm,穿刺活检病理提示:胰腺导管腺癌。

▲ CT显示胰体尾部肿瘤
翟博教授组织团队细致研究患者病情,了解到患者年事已高,而且肿瘤紧贴重要血管,存在无法完全切除以及可能的传统手术后并发症的风险,患者内心恐惧手术。考虑到患者的情况和顾虑后,团队与患者及家属充分沟通,最后决定采用纳米刀消融技术进行微创治疗,纳米刀消融具有高度的“组织选择性”,只破坏癌细胞,而巧妙地避开了周围的血管、胆管、神经等重要组织,这对于深藏于腹腔深处、被众多重要器官和大血管包绕的胰腺来说是极大的优势。
入院完善相关检查,排除手术禁忌后,翟博教授团队为王奶奶进行了经皮胰病损纳米刀消融术。术者借助超声引导清晰地了解胰体尾肿瘤的位置、大小、形状以及与周围组织的关系,随后在超声引导下将直径仅1.1毫米的消融电极经皮穿刺至肿瘤核心区域,确保电极区域包裹肿瘤,通过释放微秒级的高压电脉冲将肿瘤彻底灭活。消融过程中电流上升反馈良好,无不良反应。术后即时超声造影验证消融情况,评估所有消融部位达到安全范围后退出消融针。

▲ CT显示胰体尾部肿瘤
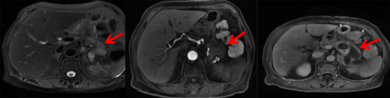
术后第3天,王奶奶顺利出院。术后一月复查中上腹增强MRI显示:消融部位无明显肿瘤活性,未见肿瘤复发灶。

▲ 术后1月复查核磁共振,肿瘤完全灭活
这例患者的成功治疗,是同济大学附属东方医院微创介入中心应用纳米刀技术治疗局部晚期胰腺癌的一个代表性案例。该技术为那些因年龄、身体状况或肿瘤位置等因素,特别是无法耐受传统手术切除的老年或体弱患者,提供了一种突破性的治疗选择。凭借其创伤小、安全性高、术后恢复快且并发症少的显著特点,纳米刀技术已经帮助全球范围内的大量胰腺癌、肝癌及前列腺癌患者有效提升了生活质量。其可靠的安全性和确切的疗效获得了业界广泛认同,正推动着局部晚期胰腺癌治疗模式的深刻变革,使“微创治愈”这一目标逐渐成为可实现的现实。
纳米刀技术的临床应用,其价值远不止于单台手术的成功。翟博教授表示,纳米刀技术有效地弥补了肝门部胆管癌、胰腺癌等危险部位肿瘤消融治疗的空白,为原本陷入绝境的患者提供了新的生机。而且其微创特性显著缩短了住院时间,不仅减轻了患者痛苦,也加快了医院床位的周转率,提升了医疗资源的利用效率。
专家介绍 INTRODUCTION

• 肿瘤系统医学全国重点实验室PI
• 外科学博士,主任医师/教授,博士生导师
• 中国抗癌协会肿瘤微创治疗专业委员会主委
• 中国研究型医院学会介入治疗专业委员会副主委
• 中国医师协会介入医师分会肿瘤消融专委会副主委
• 上海市医学会肿瘤介入分会副主委
• 上海市抗癌协会肿瘤微创治疗专业委员会名誉主委
• 上海市抗癌协会肿瘤消融治疗专委会主委
远山医疗坐落于天津,自2013年起聚焦不可逆电穿孔(纳米刀)技术研发,公司旗下用于肿瘤消融的陡脉冲治疗仪是国产唯一获批肝脏、胰腺恶性肿瘤双适应症认证的纳米刀上市产品。纳米刀技术是被CSCO、NCCN提及的治疗胰腺癌唯一的消融手段,因其非热、组织选择性消融的独特优势,突破传统治疗方式的限制,在肝门胆管癌、胰腺癌等复杂解剖部位的肿瘤治疗方面展现了不可替代的价值。远山医疗深耕纳米刀技术多年,率先推出了全球首款获批上市的局麻纳米刀产品,进一步拓宽了纳米刀技术的治疗边界。
远山医疗作为国内不可逆电穿孔领域的先驱者,目前已布局肿瘤消融、心脏电生理、呼吸介入和外周血管介入四大领域,致力于提供符合中国临床需求的全面解决方案。从首台国产纳米刀获批,到全球首台局麻纳米刀上市,远山医疗正一步一个脚印,始终积极探索不可逆电穿孔技术的医学可能。
